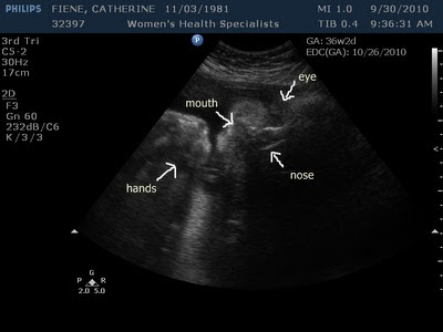
I can't seem to get away with having a small baby. John was born about 2 1/2 weeks early at 8 lbs 5 oz and Gus came into the world a week early weighing in at a whopping 9 lbs 12 oz. I had high hopes for this baby as I haven't gained that much weight and up until about 3 weeks ago I was measuring right on track. Seriously, I was ecstatic about the possibility of holding a little bundle of joy. However, it just isn't meant to be. I had a sonogram today to determine the baby's size since I've been measuring about 4 weeks ahead and my "little" bundle of joy is already 8 lbs 7 oz. I know sonograms can be off, but the wonderful sonogram tech at my doctors office is hardly ever off and if she is it is only by a few ounces. Aside from the weight, his/her head is measuring at 40 weeks 2 days. I keep telling this baby that he/she can come anytime and to please not make me wait too much longer.
Thursday, September 30, 2010
Tuesday, September 21, 2010
Park Fun
My boys have LOTS of energy. We try to get them outside as much as possible. It's either outside or running all through the house. And my house is not a playground. John and Gus don't always understand why I won't let them run circles all over the house. I just tell John when he is old enough to have his own place he can run there, but not here. I'm such a mean mom.
Gus likes to scope things out first.
John immediately finds something fun to do. This thing was like a modern day merry go round. John and Hans had a great time on this thing.
They even tried to get Gus involved but this just wasn't his thing.
Gus was only happy if he was the one pushing John round and round.
So Hans and John just decided to see how dangerous they could be without actually hurting anyone.
This was more Gus' speed.
Sadly, I realized at the park that my big boy is 4 and doesn't know how to pump on the swing. This is our newest project.
Saturday, September 18, 2010
My Nesting Project
I've done one project right before each child was born. I guess it is nesting, but none of the projects had anything to do with a baby coming...I just knew I would get enough sympathy to get some help. With John I sanded and re-stained our bedroom dresser. Now this really didn't have anything to do with a baby coming since the dresser was housed in our garage and wasn't even used until we moved when John was one. The dresser was just bothering me and my last couple of months of pregnancy were the first time in 7 or 8 years that I didn't have a job. With Gus I painted the floors downstairs and the front porch. We also took the ugly fence down around the house, but seeing as how I did very minimal work with that I won't claim that project.
For my latest project I decided to reupholster at least one of these chairs. I decided to take only one apart at a time so that I didn't have a complete disaster on my hands. We bought these chairs when we first moved to Denver two years ago with the intention of reupholstering them at some point...that point is now. So, here is my journey...
For my latest project I decided to reupholster at least one of these chairs. I decided to take only one apart at a time so that I didn't have a complete disaster on my hands. We bought these chairs when we first moved to Denver two years ago with the intention of reupholstering them at some point...that point is now. So, here is my journey...
This is what the chair looked like before.
I took it apart to see how it was put together. In the meantime I took lots of pictures so I wouldn't forget how to put it all back together.
I just kept taking it all apart. This old pile of chair was a kid magnet. This motivated me to get it all done quickly.
I had to sand down the frame since it needed to be re-stained. Don't worry folks, I used a mask...for part of it.
So the frame is done and the chair is ready to be put back together.
Here is the finished product. My friend Jan helped me with the sewing part. I don't sew. I used to sew flags with my friend Kelsey, but as I was explaining to Jan yesterday, those didn't have to look very good because they were moving and a few yards away.
New and old side by side. I have to say I feel pretty good about this accomplishment. It isn't perfect, but it works for me. I must be nesting because what person in their right mind would take on any of these projects when they are so big they can't even tie their own shoes. Or, maybe I'm just not in my right mind.
I just kept taking it all apart. This old pile of chair was a kid magnet. This motivated me to get it all done quickly.
I had to sand down the frame since it needed to be re-stained. Don't worry folks, I used a mask...for part of it.
So the frame is done and the chair is ready to be put back together.
Here is the finished product. My friend Jan helped me with the sewing part. I don't sew. I used to sew flags with my friend Kelsey, but as I was explaining to Jan yesterday, those didn't have to look very good because they were moving and a few yards away.
Labels:
chair,
house,
pregnancy,
reupholster
Wednesday, September 15, 2010
Hans' Food Creations
Hans and I love watching shows on the Food Network. While I love all the shows that have to do with baking cupcakes and cakes I also find the general food shows great too. Hans loves recreating things he has seen on TV. Hans is a wonderful cook. I would let him take over the cooking if it wasn't for the big mess he makes while making his wonderful creations.
Swiss cheese and portabello mushroom quiche. The boys love eggs and egg things so this was quickly devoured.
This was his latest experiment. A burger filled with bleu cheese and bacon with some homemade french fries. I normally love bleu cheese, but while I'm pregnant bleu cheese tastes like turpentine so I didn't eat this particular meal. Turns out that was a good thing since preggos aren't supposed to have bleu cheese.
Hans' chicken tenders and french fries. This meal isn't good for you, but it sure is good. Hans had several trial and errors with the breading before he found something he loved. This isn't a meal we have very often, but I love when we do.
Thursday, September 9, 2010
The Tales of John
John is learning how to be respectful. For some reason it is a lot harder to be respectful to his parents than it is to be in church. I guess I would rather him be more respectful in church than at home. Both boys just love their dad and run to see him when we get to church on Sunday mornings. It is a good thing we get there early enough for them to see him before he vests or you would see two boys running towards the altar to give their father a hug in the middle of the opening hymn. One Sunday morning John was following Hans around doing pre-service duties and was apparently being pretty loud. Hans had warned him a few times to keep quiet, but John still had to be pulled into the office. Unaware of what was going on all I heard was John saying, "But, I want to be respectful. I will be respectful. Let me be respectful."
For those of you who attend church with small children or remember attending church with your small children you know it isn't an easy task. It also becomes infinitely harder when there is only one parent with two hands. John has been sitting through church for over a year now with no problems. It took a long time to get to this point and he still can be distracted...he is only 4. Gus is now reaching the age that he needs to be taken out every now and then. This is really only because he loves his dad so much that it hurts him to see his father, but not be able to go to him. If Hans gets too close it sets off a fit in Gus and I have to take him out until he calms down. The times when I have to leave John has wanted to stay. So, John stays sitting in the front row. This actually surprised me and made me extremely proud. He loves participating even more than he loves playing in the nursery. It is helpful to only have one kid going through the 'I don't have to sit still or be quiet' phase at one time.
As I said earlier, John can get distracted. Lately, there has been a four year old little girl that has come to sit with us every week. They usually arrive after the service has begun and she manages to wiggle away from her grandmother and sit next to John. I love that there is another kid at church, but this has proven to be very difficult for John. The two can get to playing and get loud. After the first week of her sitting with us, I had a talk with John and told him that he still needed to be good in church. The next week he told the little girl, "We have to behave in church, that means no talking and screaming." When she didn't calm down John came and sat between me and the end of the pew. She was upset by this and started throwing a fit to which John replied, "I'm not getting in trouble for you." I am unbelievably proud that my 4 year old not only listens but wants to behave and be respectful in church. He knows there is plenty of time to play with her after church. While he may not make the same decision every week I am extremely happy in the choices he made this week.
For those of you who attend church with small children or remember attending church with your small children you know it isn't an easy task. It also becomes infinitely harder when there is only one parent with two hands. John has been sitting through church for over a year now with no problems. It took a long time to get to this point and he still can be distracted...he is only 4. Gus is now reaching the age that he needs to be taken out every now and then. This is really only because he loves his dad so much that it hurts him to see his father, but not be able to go to him. If Hans gets too close it sets off a fit in Gus and I have to take him out until he calms down. The times when I have to leave John has wanted to stay. So, John stays sitting in the front row. This actually surprised me and made me extremely proud. He loves participating even more than he loves playing in the nursery. It is helpful to only have one kid going through the 'I don't have to sit still or be quiet' phase at one time.
As I said earlier, John can get distracted. Lately, there has been a four year old little girl that has come to sit with us every week. They usually arrive after the service has begun and she manages to wiggle away from her grandmother and sit next to John. I love that there is another kid at church, but this has proven to be very difficult for John. The two can get to playing and get loud. After the first week of her sitting with us, I had a talk with John and told him that he still needed to be good in church. The next week he told the little girl, "We have to behave in church, that means no talking and screaming." When she didn't calm down John came and sat between me and the end of the pew. She was upset by this and started throwing a fit to which John replied, "I'm not getting in trouble for you." I am unbelievably proud that my 4 year old not only listens but wants to behave and be respectful in church. He knows there is plenty of time to play with her after church. While he may not make the same decision every week I am extremely happy in the choices he made this week.
Monday, September 6, 2010
Makin' Mud Pies
There was one birthday gift I didn't include in the pictures because we didn't have it yet. It is by far the messiest thing we now own and the boys LOVE it. The Little Tykes Makin' Mud Pie Kitchen came from John's Uncle Mike and Aunt Andrina, although I'm told the real person to thank for picking out the present is Eva. I put the kitchen together one afternoon and John couldn't wait to take it outside. Hans was confused as to why we would take the kitchen outside, but soon learned that was were the real fun began.
Do not let the advertisement fool you. Your children will not look like this during or after playing with the kitchen...
They will, however, look like this...
Do not let the advertisement fool you. Your children will not look like this during or after playing with the kitchen...
They will, however, look like this...
John was collecting dirt to make his mud pie.
They did play very well together.
This is what is currently sitting on my back porch. This is also a perfect example of why inside toys stay inside and outside toys stay outside.
Thank you, Mike, Andrina, Eva and Machara! The boys are having a blast.
Saturday, September 4, 2010
How Old Are You?
Right before John's birthday we were asking him how old he was and how old he was going to be on his birthday. During one of these conversations I asked August how old he was and he promptly told me 2. That is his answer and he is sticking with it. He will sometimes even hold up one finger while proudly proclaiming 2, but you won't get him to say he is 1. This is further evidence of what a little toot he is.
Friday, September 3, 2010
A Little Thomas Obsession
We can't deny anymore the Thomas the Train obsession in our house. It isn't just a phase anymore, it's been going on for almost 3 years. John got his first train set on his first birthday and on every gift giving occasion at least three trains are given to him. This isn't an obsession I mind. Actually, I love that he loves Thomas the Train. If you've ever sat down and watched a Thomas DVD you may wonder why I, or any kid for that matter, love it so much. They move slowly and are very simple. This is was I like about them. It encourages kids to use their imagination. In a world that is full of Chuggington, Dora the Explorer and every other new and exciting show it is a breath of fresh air for me to see kids watching a show that doesn't move so fast. I'm pretty sure the guy that created Thomas is rolling in the dough as the shows took mere pennies to make and are still being sold all over the world.
The only problem with Thomas the Train is that everything costs so much! Don't get me wrong, it is all worth it. Everything is made well and will last a lifetime, but to get your kid all the trains and accessories will set you back a pretty penny. My mom and I have found a few sites we love and use often and I thought I would share them with you.
Trains Galore is a great site. They have free shipping on orders over $55 and a flat rate $6 shipping for anything under $55. They also have a store located in Noblesville, IN (near Indianapolis). While I haven't had the chance to visit the store yet, I can only imagine it is worth the trip. They ship fast and often have sales.
Mesko Toys is a great place to get pieces of track. They make track out of scrap pieces of wood and pass the savings onto the customer. As your little train engineer gets to making his/her own layouts, it is nice to have a few of these odds and ends pieces. The only downside to this track is that it isn't two sided like the Thomas track, but it does the trick.
On Ebay I love, love this seller. He actually sells all kinds of things, but has great prices on various Thomas things. He ships fast and does combined shipping on multiple items.
As always Amazon is great and Michaels is also another great place to try. Michaels often times has 40% off coupons on regular priced merchandise and you can even finds some treasures there at great clearance prices. And, don't forget to explore Craigslist. While I will never sell the pieces we have accumulated there are many people out there willing to part with hundreds of dollars worth of merchandise at a fraction of the cost.
While my house is filled with pieces of track, various bridges and trains everywhere I wouldn't have it any other way. I love to sit at the top of the stairs and listen to John's imagination soar as he reenacts the various stories in his head. These toys have given him hours of imaginative play and enjoyment. And, it must be contagious as Gus is loving them just as much...in his own way.
The only problem with Thomas the Train is that everything costs so much! Don't get me wrong, it is all worth it. Everything is made well and will last a lifetime, but to get your kid all the trains and accessories will set you back a pretty penny. My mom and I have found a few sites we love and use often and I thought I would share them with you.
Trains Galore is a great site. They have free shipping on orders over $55 and a flat rate $6 shipping for anything under $55. They also have a store located in Noblesville, IN (near Indianapolis). While I haven't had the chance to visit the store yet, I can only imagine it is worth the trip. They ship fast and often have sales.
Mesko Toys is a great place to get pieces of track. They make track out of scrap pieces of wood and pass the savings onto the customer. As your little train engineer gets to making his/her own layouts, it is nice to have a few of these odds and ends pieces. The only downside to this track is that it isn't two sided like the Thomas track, but it does the trick.
On Ebay I love, love this seller. He actually sells all kinds of things, but has great prices on various Thomas things. He ships fast and does combined shipping on multiple items.
As always Amazon is great and Michaels is also another great place to try. Michaels often times has 40% off coupons on regular priced merchandise and you can even finds some treasures there at great clearance prices. And, don't forget to explore Craigslist. While I will never sell the pieces we have accumulated there are many people out there willing to part with hundreds of dollars worth of merchandise at a fraction of the cost.
While my house is filled with pieces of track, various bridges and trains everywhere I wouldn't have it any other way. I love to sit at the top of the stairs and listen to John's imagination soar as he reenacts the various stories in his head. These toys have given him hours of imaginative play and enjoyment. And, it must be contagious as Gus is loving them just as much...in his own way.
Wednesday, September 1, 2010
The Tales of John
I can see why people think that kids don't hear the things that are going on around them. But this is a wild misconception. Just because you don't think they are listening doesn't mean they aren't hearing you...whether you want them to or not. If we tell John not to do something I make him repeat it back to me. He hates doing this because he knows I now have confirmation that he heard me. We will sit there for 5 minutes going back and forth, "What did I say?" "I don't know." "Yes, you do, tell me what I said." After a while he gives in and tells me. There are lots of times I still feel that what I say doesn't sink in, but he always manages to prove me wrong.
A few weeks ago we had VBS at Mt. Calvary and John was so excited to have so many kids to play with. A couple of the little boys were just as crazy as John, which John didn't find so amusing. One of the little boys was making an annoying sound next to John while they were eating. I'm pretty sure John told him to stop a couple of times before I heard, "How many times do I have to tell you to stop?" All of the adults just had to laugh. I wonder how many times a day I have to say that to him.
Aside from being able to repeat what we constantly say to him; John is able to hear something just once and store it in his little brain until he needs it again. While on vacation he watched 101 Dalmations. After watching the movie once Hans asked him questions about the movie to which John knew all the answers. Hans, trying to stump John asked him how many puppies were in 101 Dalmations and without hesitating John answered 99. At the time, Hans and I didn't know how he could know this since we didn't think it said this in the movie. After watching the movie again we found that it mentioned it once, just in passing in the middle of the movie. I'm just surprised he was able to remember that. I am also constantly amazed at the amount of times he can squeeze in the words fabulous, marvelous and confusion in a simple conversation. For this we have Thomas the Tank Engine to thank, as we also have them to thank for the word stupid.
A few weeks ago we had VBS at Mt. Calvary and John was so excited to have so many kids to play with. A couple of the little boys were just as crazy as John, which John didn't find so amusing. One of the little boys was making an annoying sound next to John while they were eating. I'm pretty sure John told him to stop a couple of times before I heard, "How many times do I have to tell you to stop?" All of the adults just had to laugh. I wonder how many times a day I have to say that to him.
Aside from being able to repeat what we constantly say to him; John is able to hear something just once and store it in his little brain until he needs it again. While on vacation he watched 101 Dalmations. After watching the movie once Hans asked him questions about the movie to which John knew all the answers. Hans, trying to stump John asked him how many puppies were in 101 Dalmations and without hesitating John answered 99. At the time, Hans and I didn't know how he could know this since we didn't think it said this in the movie. After watching the movie again we found that it mentioned it once, just in passing in the middle of the movie. I'm just surprised he was able to remember that. I am also constantly amazed at the amount of times he can squeeze in the words fabulous, marvelous and confusion in a simple conversation. For this we have Thomas the Tank Engine to thank, as we also have them to thank for the word stupid.
Subscribe to:
Comments (Atom)

